Mất Răng Lâu Năm: Nguyên Nhân, Hậu Quả và Giải Pháp Trồng Răng Tại Nha Khoa Quốc Tế Việt Mỹ
08/08/2023
Mất răng lâu năm có thể dẫn đến nhiều vấn đề về chức năng nhai và thẩm mỹ. Bài viết này sẽ trình bày nguyên nhân gây mất răng, hậu quả và giải pháp trồng răng cấy ghép tại Nha Khoa Quốc Tế Việt Mỹ. Cùng tìm hiểu về những thắc mắc phổ biến liên quan đến tình trạng mất răng lâu năm.
Mất răng lâu năm, cho dù là một chiếc răng hay nhiều răng, có thể gây ảnh hưởng lớn đến chức năng nhai và giao tiếp của cá nhân. Vấn đề này không chỉ ảnh hưởng đến việc ăn uống mà còn khiến người bệnh cảm thấy tự ti khi nói chuyện hay cười. Dưới đây là những câu hỏi thường gặp về tình trạng mất răng lâu năm, cùng với những giải pháp hữu ích từ Nha Khoa Quốc Tế Việt Mỹ, một địa chỉ có hơn 10 năm kinh nghiệm trong lĩnh vực này.
Răng là một phần quan trọng trong hàm răng của người trưởng thành, bao gồm răng cửa, răng nanh và răng hàm. Răng hàm (răng số 6, 7, và 8 - răng khôn) đóng vai trò quan trọng trong việc hoàn thiện chức năng nhai và duy trì sự cân đối thẩm mỹ của khuôn mặt.
Nguyên nhân gây mất răng lâu năm bao gồm:
- Bệnh lý về răng miệng như sâu răng, viêm nha chu, viêm tủy không được điều trị kịp thời.
.jpg)
- Chăm sóc răng miệng không đúng cách, bao gồm việc chải răng không đủ thường xuyên và không thay đổi bàn chải đánh răng.
- Tai nạn hoặc chấn thương trong sinh hoạt hàng ngày, chẳng hạn như chơi thể thao hoặc mang vác vật nặng.
.jpg)
- Thói quen nghiến răng, ăn đồ cứng, hút thuốc lá, ăn đồ ngọt góp phần vào việc phát triển bệnh viêm nướu và dẫn đến tình trạng mất răng.
Mất răng lâu năm có thể gây ra nhiều vấn đề cho sức khỏe và thẩm mỹ, bao gồm:
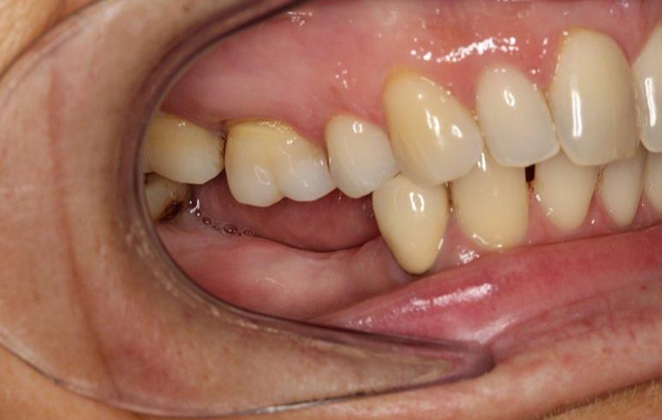
- Giảm khả năng nhai, ảnh hưởng đến tiêu hóa do thức ăn không được nghiền nhỏ.
.jpg)
- Tiêu xương hàm và tụt nướu, gây ảnh hưởng đến cấu trúc khuôn mặt và thẩm mỹ.
- Ảnh hưởng đến nụ cười và thẩm mỹ khuôn mặt.
- Sai khớp cắn và xô lệch răng.
- Khó khăn trong việc phát âm và giao tiếp.
.jpg)
- Đau khớp thái dương hàm và đau đầu.
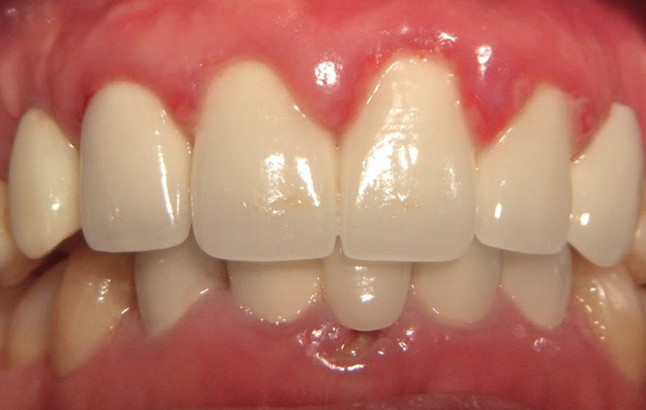
Với hơn 10 năm kinh nghiệm, Nha Khoa Quốc Tế Việt Mỹ cung cấp giải pháp trồng răng cấy ghép Implant. Implant là trụ Titanium được cấy vào xương hàm để thay thế cho chân răng mất, sau đó phục hình sứ cố định để khôi phục chức năng và thẩm mỹ.
.jpg)
Khi điều trị mất răng lâu năm, quá trình trồng răng cần được thực hiện bởi đội ngũ Bác sĩ chuyên môn và kỹ thuật cao. Nha Khoa Quốc Tế Việt Mỹ có đội ngũ chuyên gia với nhiều chuyên khoa khác nhau như trồng Implant, phục hình, tiểu phẫu, chỉnh nha, và tổng quát, đảm bảo mang đến kết quả tối ưu cho từng trường hợp.
Việc lựa chọn Nha Khoa Quốc Tế Việt Mỹ đồng nghĩa với việc bạn đang chọn một địa chỉ uy tín và chất lượng để giải quyết vấn đề mất răng lâu năm, từ đó khôi phục lại sức khỏe và tự tin trong giao tiếp hàng ngày.

1. Nguyên nhân gây mất răng lâu năm:
Răng là một phần quan trọng trong hàm răng của người trưởng thành, bao gồm răng cửa, răng nanh và răng hàm. Răng hàm (răng số 6, 7, và 8 - răng khôn) đóng vai trò quan trọng trong việc hoàn thiện chức năng nhai và duy trì sự cân đối thẩm mỹ của khuôn mặt.
Nguyên nhân gây mất răng lâu năm bao gồm:
- Bệnh lý về răng miệng như sâu răng, viêm nha chu, viêm tủy không được điều trị kịp thời.
.jpg)
- Chăm sóc răng miệng không đúng cách, bao gồm việc chải răng không đủ thường xuyên và không thay đổi bàn chải đánh răng.
- Tai nạn hoặc chấn thương trong sinh hoạt hàng ngày, chẳng hạn như chơi thể thao hoặc mang vác vật nặng.
.jpg)
- Thói quen nghiến răng, ăn đồ cứng, hút thuốc lá, ăn đồ ngọt góp phần vào việc phát triển bệnh viêm nướu và dẫn đến tình trạng mất răng.
2. Hậu quả của mất răng lâu năm:
Mất răng lâu năm có thể gây ra nhiều vấn đề cho sức khỏe và thẩm mỹ, bao gồm:
- Giảm khả năng nhai, ảnh hưởng đến tiêu hóa do thức ăn không được nghiền nhỏ.
.jpg)
- Tiêu xương hàm và tụt nướu, gây ảnh hưởng đến cấu trúc khuôn mặt và thẩm mỹ.
- Ảnh hưởng đến nụ cười và thẩm mỹ khuôn mặt.
- Sai khớp cắn và xô lệch răng.
- Khó khăn trong việc phát âm và giao tiếp.
.jpg)
- Đau khớp thái dương hàm và đau đầu.
3. Giải pháp trồng răng cấy ghép tại Nha Khoa Quốc Tế Việt Mỹ:
Với hơn 10 năm kinh nghiệm, Nha Khoa Quốc Tế Việt Mỹ cung cấp giải pháp trồng răng cấy ghép Implant. Implant là trụ Titanium được cấy vào xương hàm để thay thế cho chân răng mất, sau đó phục hình sứ cố định để khôi phục chức năng và thẩm mỹ.
.jpg)
Khi điều trị mất răng lâu năm, quá trình trồng răng cần được thực hiện bởi đội ngũ Bác sĩ chuyên môn và kỹ thuật cao. Nha Khoa Quốc Tế Việt Mỹ có đội ngũ chuyên gia với nhiều chuyên khoa khác nhau như trồng Implant, phục hình, tiểu phẫu, chỉnh nha, và tổng quát, đảm bảo mang đến kết quả tối ưu cho từng trường hợp.
Việc lựa chọn Nha Khoa Quốc Tế Việt Mỹ đồng nghĩa với việc bạn đang chọn một địa chỉ uy tín và chất lượng để giải quyết vấn đề mất răng lâu năm, từ đó khôi phục lại sức khỏe và tự tin trong giao tiếp hàng ngày.
- Mất Răng Hàm: Có Ảnh Hưởng Đến Hóp Má Và Thẩm Mỹ Không?
- Tại Sao Cần Phục Hồi Răng Ngay Sau Khi Mất Răng?
- Hút Thuốc Lá và Cấy Ghép Implant - Những Ảnh Hưởng Đáng Chú Ý
- Giải Đáp Viêm Nha Chu Có Trồng Răng Implant Được Không?
- Trồng Răng Khi Còn Chân Răng - Phương Pháp Hiệu Quả để Khắc Phục Răng Gãy Vỡ
- Cấy ghép Implant và Tuổi thọ Răng Implant
- Bệnh Tiểu Đường và Trồng Răng Implant: Hiểu Rõ Nguy Cơ và Lưu Ý Quan Trọng
- Abutment Implant: Giải Mã Vai Trò, Loại Hình và Lựa Chọn Thương Hiệu Tại Nha Khoa Quốc Tế Việt Mỹ




