Tiêu Xương Chân Răng - Hiểu Rõ Căn Bệnh Và Cách Phòng Ngừa
27/07/2023
Tiêu xương chân răng là một trong những vấn đề sức khỏe răng miệng đáng quan ngại, ảnh hưởng đến chức năng ăn nhai và thẩm mỹ. Để giúp bạn hiểu rõ hơn về căn bệnh này và cách phòng ngừa, chúng tôi xin chia sẻ những thông tin quan trọng dưới đây.
I. Tiêu xương chân răng là gì?

Tiêu xương chân răng, còn được gọi là tiêu xương ổ răng, là tình trạng suy giảm chiều cao, mật độ, số lượng và thể tích của xương ổ răng cũng như vùng xung quanh chân răng, dẫn đến việc xương bị tiêu biến dần. Cấu trúc xương ổ răng là mềm dẻo, do đó dễ bị tiêu hòa. Ngoài ra, xung quanh chân răng có tổ chức muối khoáng sinh học, dễ bị vi khuẩn tấn công, gây hỏng xương.
II. Tác hại của tiêu xương chân răng
Bệnh tiêu xương chân răng không chỉ gây mất thẩm mỹ mà còn để lại nhiều hệ lụy nghiêm trọng như sau:
1. Di răng và mất thẩm mỹ:
.jpg)
Chân răng gần vùng tiêu xương sẽ bị nghiêng hoặc lệch hướng, làm ảnh hưởng đến chức năng ăn nhai và khiến hàm răng không đều, mất thẩm mỹ khi cười.
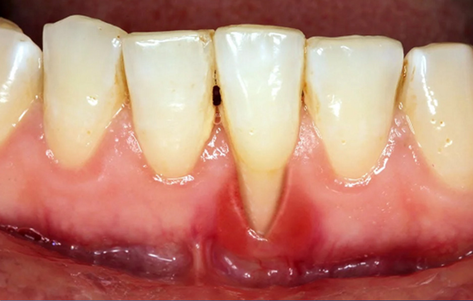
2. Tụt nướu:
Xương bị tiêu xương khiến nướu không được nâng đỡ, dẫn đến tụt nướu và hở chân răng, tạo điều kiện thuận lợi cho vi khuẩn tấn công và gây tổn thương nướu, làm hàm răng trở nên mất thẩm mỹ.
3. Tiêu xương hàm (tiêu xương ổ răng):
.jpg)
Khi mất nhiều răng, kích thước hàm thay đổi, thường xảy ra ở người dùng cầu răng hoặc răng giả tháo lắp.
4. Răng dễ bị lung lay:
Xương bị tiêu biến làm cho chân răng mất điểm chắc chắn, dễ bị lung lay và xô lệch.
5. Suy giảm chức năng ăn nhai:
Chân răng bị tiêu xương yếu dần, làm cho việc nhai thức ăn trở nên vất vả và khó khăn.
6. Ảnh hưởng đến tính thẩm mỹ:
.jpg)
Tiêu xương chân răng làm mặt bị móm, già nua sớm, ảnh hưởng đến tính thẩm mỹ trên gương mặt.
7. Khó khăn trong việc điều trị và phục hình răng:
Trường hợp nặng có thể không trồng lại được răng do xương quá lệch và hàm bị trũng.
III. Nguyên nhân gây tiêu xương chân răng
Có hai nguyên nhân chính gây tiêu xương chân răng:
1. Mất răng:
Nhổ răng do sâu hoặc răng mọc lệch để lại khoảng trống chỗ nhổ làm xương răng sụt và tiêu biến nghiêm trọng.
2. Tác động từ cao răng:
.jpg)
Răng cao bao phủ dày đặc khiến xương ổ răng và nướu bị tổn thương, vi khuẩn tấn công nhanh chóng và gây hỏng xương.
IV. Phương pháp ngăn chặn nguy cơ tiêu xương ổ răng
Để tránh nguy cơ tiêu xương chân răng, bạn cần có chế độ chăm sóc răng miệng tốt, bao gồm:
.jpg)
1. Đi lấy cao răng định kỳ 6 tháng/lần.
2. Điều trị sớm nếu có dấu hiệu viêm nướu.
3. Trồng Implant sớm sau khi mất răng để ngăn ngừa tiêu xương hàm.
Răng Implant giúp thay thế chân răng thật, duy trì áp lực nhai lên xương hàm, ngăn chặn tiêu xương và các hậu quả do mất răng gây ra.
Tiêu xương chân răng là căn bệnh đáng lo ngại, ảnh hưởng nghiêm trọng đến chức năng ăn nhai và thẩm mỹ. Việc duy trì chăm sóc răng miệng đều đặn và thăm khám định kỳ sẽ giúp ngăn ngừa và phát hiện sớm các vấn đề về xương răng. Đặc biệt, trồng răng Implant là phương pháp hiệu quả để ngăn chặn tiêu xương và tái khôi phục hàm răng hoàn hảo.
Thông tin trên đã giúp bạn hiểu rõ hơn về căn bệnh tiêu xương chân răng và cách phòng ngừa. Hãy thường xuyên theo dõi các bài viết chăm sóc sức khỏe răng miệng để có kiến thức bổ ích hơn!
- Mất Răng Hàm: Có Ảnh Hưởng Đến Hóp Má Và Thẩm Mỹ Không?
- Tại Sao Cần Phục Hồi Răng Ngay Sau Khi Mất Răng?
- Hút Thuốc Lá và Cấy Ghép Implant - Những Ảnh Hưởng Đáng Chú Ý
- Giải Đáp Viêm Nha Chu Có Trồng Răng Implant Được Không?
- Trồng Răng Khi Còn Chân Răng - Phương Pháp Hiệu Quả để Khắc Phục Răng Gãy Vỡ
- Cấy ghép Implant và Tuổi thọ Răng Implant
- Bệnh Tiểu Đường và Trồng Răng Implant: Hiểu Rõ Nguy Cơ và Lưu Ý Quan Trọng
- Abutment Implant: Giải Mã Vai Trò, Loại Hình và Lựa Chọn Thương Hiệu Tại Nha Khoa Quốc Tế Việt Mỹ




