Răng Số 8 Bị Sâu Vỡ: Nguyên Nhân, Tác Hại và Cách Xử Lý Hiệu Quả
25/08/2023
Răng số 8 bị sâu vỡ là tình trạng hiếm gặp nhưng ảnh hưởng nghiêm trọng đến sức khỏe và cuộc sống. Bài viết này trình bày nguyên nhân, tác hại và cách giải quyết cho vấn đề này.

Răng Số 8 Bị Sâu Vỡ: Nguyên Nhân, Tác Hại và Giải Pháp
Răng số 8 bị sâu vỡ, còn được gọi là răng khôn hoặc răng hàm lớn 3, là một tình trạng không thường gặp ở người trưởng thành. Mặc dù ít phổ biến, nhưng khi xảy ra, tình trạng này có thể gây ảnh hưởng nghiêm trọng đến sức khỏe và chất lượng cuộc sống của con người. Trong bài viết này, chúng ta sẽ tìm hiểu về răng số 8, nguyên nhân gây sâu vỡ, tác hại của tình trạng này và cách xử lý hiệu quả.
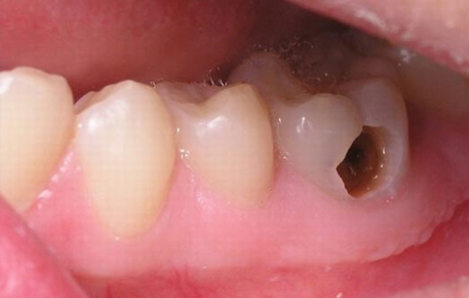
Răng Số 8 là Gì và Nguyên Nhân Gây Sâu Vỡ?
.jpg)
Răng số 8, hay còn gọi là răng khôn, thường mọc vào độ tuổi từ 22 đến 35. Mỗi người trưởng thành có tổng cộng 32 chiếc răng vĩnh viễn, trong đó có 4 chiếc răng số 8 (2 chiếc ở hàm trên và 2 chiếc ở hàm dưới). Tuy nhiên, không phải ai cũng phát triển đủ 4 chiếc răng này do nhiều lý do khác nhau.
Răng số 8 có diện tích rộng lớn và phức tạp về cấu trúc. Nguyên nhân gây sâu vỡ cho răng số 8 chủ yếu là do vi khuẩn gây sâu răng không được điều trị kịp thời và triệt hạ. Vi khuẩn này ngày càng sinh sôi và phát triển, làm hủy hoại cấu trúc răng. Thiếu chất dinh dưỡng để nuôi dưỡng răng cũng làm cho chúng trở nên mềm và dễ vỡ hơn. Ngoài ra, lực tác động trong quá trình ăn uống cũng có thể gây nứt và vỡ răng.
Tác Hại của Răng Số 8 Bị Sâu Vỡ
Răng số 8 bị sâu vỡ có thể gây ra nhiều tác hại đáng kể:
1. Hôi Miệng và Mất Tự Tin:
Tình trạng này có thể gây ra hôi miệng và hơi thở không dễ chịu, gây mất tự tin trong giao tiếp.
2. Viêm Nhiễm và Đau Nhức:
.jpg)
Vi khuẩn có thể gây viêm nhiễm và đau nhức ở vùng lợi, kéo dài thời gian và gây đau đầu kinh niên.
3. Lây Lan Vi Khuẩn:
Vi khuẩn từ răng số 8 có thể lây lan sang các răng lân cận, ảnh hưởng đến chức năng nhai của toàn bộ hàm răng.
4. Viêm Nha Chu và Nhiễm Trùng:
Tình trạng này có thể gây viêm nha chu và nhiễm trùng xung quanh răng.
5. Áp Xe Xương Ô Răng và Viêm Chóp Răng:
.jpg)
Nếu răng số 8 bị sâu vỡ ăn vào tủy, có thể gây áp xe xương ô răng hoặc viêm chóp răng.
6. Mất Thẩm Mỹ:
Nếu không được chữa trị kịp thời, việc mất xương hàm có thể làm mất thẩm mỹ cho khuôn mặt.
Xử Lý Răng Số 8 Bị Sâu Vỡ: Nhổ Hay Không?
Khi răng số 8 bị sâu vỡ và gây đau, tốt nhất là nên nhổ để tránh tình trạng ảnh hưởng tiêu cực đến sức khỏe. Răng số 8 thường không đóng vai trò quan trọng trong chức năng ăn nhai so với các răng khác. Thêm vào đó, răng khôn thường mọc lệch hoặc đâm vào các răng khác, gây đau nhức và ảnh hưởng xấu đến răng miệng.
Nhờ vào công nghệ hiện đại và sự tay nghề cao của nha sĩ, quá trình nhổ răng số 8 đã trở nên an toàn hơn. Sau vài thao tác đơn giản, nha sĩ có thể giúp bạn loại bỏ răng số 8 mà không gặp khó khăn.
Quy Trình Nhổ Răng Số 8 Bị Sâu Vỡ
Quy trình nhổ răng số 8 bị sâu vỡ bao gồm ba bước cơ bản:
1. Chụp X-quang:
.jpg)
Nha sĩ sẽ thực hiện chụp X-quang để đánh giá mức độ sâu và vỡ của răng số 8.
2. Gây Tê:
.jpg)
Tiến hành gây tê rồi sử dụng dụng cụ chuyên nghiệp để nhổ răng số 8.
3. Khâu Lại:
Sau khi nhổ răng, nha sĩ sẽ tiến hành khâu lại vết thương, giúp bạn nhanh chóng hồi phục.
Kết luận, răng số 8 bị sâu vỡ có thể gây ra nhiều vấn đề nghiêm trọng. Việc nhổ răng số 8 là một giải pháp hiệu quả để tránh tình trạng tồi tệ hơn. Hãy tìm đến nha sĩ để được tư vấn và xử lý tình trạng này một cách an toàn và hiệu quả.
- Niềng Răng Invisalign Có Hiệu Quả Không? Đối Tượng Nào Thích Hợp?
- Mất Răng Hàm: Có Ảnh Hưởng Đến Hóp Má Và Thẩm Mỹ Không?
- Kỹ Thuật Gắn Attachment Trong Quá Trình Niềng Răng Invisalign
- Tại Sao Cần Phục Hồi Răng Ngay Sau Khi Mất Răng?
- Niềng Răng Sau Sinh: Thời Điểm Và Phương Pháp Phù Hợp
- Hút Thuốc Lá và Cấy Ghép Implant - Những Ảnh Hưởng Đáng Chú Ý
- Giải Đáp Viêm Nha Chu Có Trồng Răng Implant Được Không?
- Niềng Răng Invisalign: Ưu Điểm Và Nhược Điểm Bạn Cần Biết




