Niềng Răng Mắc Cài Thông Minh: Phương Pháp Niềng Hiện Đại Hiệu Quả
28/07/2023
Niềng răng mắc cài thông minh, hay còn được gọi là niềng răng mắc cài tự đóng/tự khóa, là một phương pháp niềng răng tiên tiến thay thế cho phương pháp truyền thống sử dụng thun buộc cố định các mắc cài và dây cung. Thay vì thế, phương pháp niềng răng mắc cài thông minh sử dụng hệ thống nắp trượt tự động để cố định các mắc cài và dây cung, tạo một lực siết đều đặn và ổn định giúp răng giảm đau ê và dịch chuyển răng hiệu quả hơn.
1. Niềng Răng Mắc Cài Thông Minh Là Gì?
Niềng răng mắc cài thông minh được thực hiện bằng hai phương pháp chính là niềng răng mắc cài kim loại thông minh và niềng răng mắc cài sứ thông minh.
- Niềng Răng Mắc Cài Kim Loại Thông Minh:

Phương pháp này giống với niềng răng kim loại truyền thống, nhưng thay vì sử dụng các mắc cài và dây cung bằng inox, niềng răng mắc cài thông minh sử dụng hệ thống nắp trượt tự động. Việc này giúp rút ngắn thời gian niềng răng từ 3 - 6 tháng, mang lại hiệu quả nhanh chóng. Chi phí niềng răng mắc cài kim loại thông minh từ 42 - 50 triệu.
- Niềng Răng Mắc Cài Sứ Thông Minh:
.jpg)
Phương pháp niềng răng mắc cài sứ cũng tương tự như niềng răng mắc cài kim loại thông minh, nhưng thay vì sử dụng mắc cài kim loại, các mắc cài sứ giúp mang lại thẩm mỹ cao hơn và không lộ mắc cài nhiều như niềng kim loại. Thời gian niềng răng mắc cài sứ thông minh cũng hiệu quả hơn so với niềng sứ truyền thống. Chi phí của niềng răng mắc cài sứ thông minh từ 50 - 58 triệu.
2. Những Trường Hợp Thích Hợp Cho Niềng Răng Mắc Cài Thông Minh
Niềng răng mắc cài thông minh phù hợp với nhiều trường hợp, bao gồm:
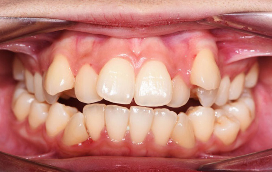
- Niềng Răng Hô:
.jpg)
Là tình trạng răng hàm trên phát triển hơn so với hàm dưới, khiến răng hàm trên nhô ra phủ răng hàm dưới nhiều. Niềng răng mắc cài thông minh giúp giảm hô và cải thiện sự hài hòa giữa hai hàm.
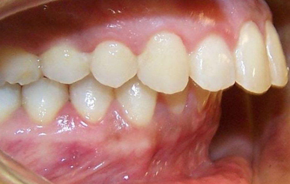
- Niềng Răng Móm:
.jpg)
Tình trạng răng sai khớp cắn, hàm dưới phủ ngoài hàm trên, gây ra vẻ nghiêng và phần cằm đưa ra. Niềng răng mắc cài thông minh giúp cải thiện thẩm mỹ và khớp cắn móm.
- Niềng Răng Thưa:
.jpg)
Có khoảng hở giữa các răng, thường do vệ sinh răng sai cách hoặc bẩm sinh. Niềng răng thông minh giúp điều chỉnh răng thưa, cải thiện ăn nhai và thẩm mỹ.
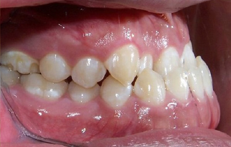
- Niềng Răng Lệch Lạc:
.jpg)
Răng mọc không đúng vị trí, hướng xoay vào trong hoặc ra ngoài không thẳng hàng. Niềng răng mắc cài thông minh giúp nắn chỉnh răng đưa về vị trí đúng.
3. Ưu Điểm Của Niềng Răng Mắc Cài Thông Minh
Phương pháp niềng răng mắc cài thông minh mang lại nhiều ưu điểm vượt trội:
- Hiệu Quả Cao:
Niềng răng thông minh giúp cải thiện tình trạng răng hô, móm, thưa, lệch lạc hiệu quả từ nhẹ đến phức tạp.
.jpg)
- Tiết Kiệm Thời Gian:
Nhờ hệ thống nắp trượt tự động giúp lực siết răng đều đặn và ổn định, thời gian niềng rút ngắn từ 3 - 6 tháng.
- Giảm Đau, Ê:
Lực siết đều đặn giúp niềng răng ít đau ê hơn so với niềng truyền thống, cảm giác không ê khi niềng răng.
Niềng răng mắc cài thông minh là một lựa chọn hiện đại và tiết kiệm thời gian để có được nụ cười hoàn hảo và hài hòa. Nếu bạn đang cân nhắc niềng răng, phương pháp niềng răng mắc cài thông minh là một sự lựa chọn đáng xem xét dưới sự tư vấn của bác sĩ chuyên nghiệp.
- Niềng Răng Invisalign Có Hiệu Quả Không? Đối Tượng Nào Thích Hợp?
- Kỹ Thuật Gắn Attachment Trong Quá Trình Niềng Răng Invisalign
- Niềng Răng Sau Sinh: Thời Điểm Và Phương Pháp Phù Hợp
- Niềng Răng Invisalign: Ưu Điểm Và Nhược Điểm Bạn Cần Biết
- Niềng Răng: Các Trường Hợp Cần Tháo Niềng Trong Quá Trình Điều Trị
- Niềng Răng Khi Lớn Tuổi: Ưu Điểm Và Phương Pháp Phù Hợp
- Có Niềng Được Răng Khi Đã Làm Cầu Răng Sứ?
- Giải Mã Chụp Phim CBCT Trong Điều Trị Trồng Răng Implant




