Răng Hô: Tình Trạng, Phân Loại, Và Phương Pháp Điều Trị
30/07/2023
Răng hô là một trong những vấn đề bệnh lý về răng miệng phổ biến, có thể gây ảnh hưởng đến sức khỏe cá nhân và thẩm mỹ khuôn mặt, gây mất tự tin trong cuộc sống. Trong bài viết này, chúng tôi sẽ giới thiệu về tình trạng răng hô, các phương pháp phân loại, và các phương pháp điều trị hiệu quả.
Răng hô là gì?

Răng hô, hay còn được gọi là "răng vẩu", là một trong những dạng sai khớp cắn, khi có sự sai lệch tương quan giữa hai hàm răng trên và răng dưới.
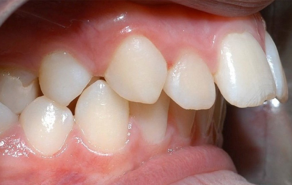
Biểu hiện của răng hô
- Hô hai hàm.
- Hàm trên nhô ra phía trước, trong khi hàm dưới bình thường.
- Hàm dưới lùi so với hàm trên bình thường.
- Có thể kết hợp cả những trường hợp trên.
Nguyên nhân gây hô răng
Có hai nguyên nhân chính dẫn đến răng hô:
1. Nguyên nhân nguyên phát (di truyền):
Đa số những người bị răng hô có người thân trong gia đình từng gặp tình trạng tương tự. Thường khi trẻ mới sinh, sẽ có sự sai biệt tự nhiên giữa xương hàm dưới và xương hàm trên, nhưng khi trẻ lớn lên, sự tăng trưởng xương hàm dưới sẽ xóa đi sự sai biệt này. Nếu xương hàm trên phát triển quá mức hoặc xương hàm dưới không phát triển đủ do yếu tố di truyền, sẽ làm sai khớp cắn hạng II hay còn gọi là hô.
2. Nguyên nhân thứ phát:
.jpg)
Hô do "vật cản" thường gặp ở một số trẻ có thói quen xấu, như mút tay, đẩy lưỡi, ngậm núm vú giả quá lâu khi còn nhỏ, gây ảnh hưởng đến sự phát triển xương và răng sau này.
Cách nhận biết răng hô
Để nhận biết tình trạng răng hô, bạn có thể dựa vào những dấu hiệu sau:
- Quan sát nét mặt nhìn nghiêng từ bên ngoài: Biểu hiện dễ nhận biết của hô là bạn sẽ thấy nét mặt nhìn nghiêng nhô ra ngoài. Góc độ nhô được xác định bằng đường thẳng nối điểm trước nhất của trán đến điểm ngay dưới chân mũi và đường thẳng nối điểm ngay dưới chân mũi đến điểm trước nhất của cằm.
.jpg)
- Xét về răng bên trong: Kiểm tra bằng cách thử cảm nhận rìa cắn răng cửa hàm dưới có chạm vào khoảng 1/3 mặt trong của thân răng cửa hàm trên không (tính từ rìa cắn đến viền nướu răng cửa hàm trên). Nếu chạm cao hơn hoặc chạm hẳn vào nướu mặt trong răng cửa hàm trên thì có tình trạng hô.
Phân loại tình trạng răng theo hình thái
Có 4 dạng phân loại tình trạng răng hô:
1. Hô do sự di chuyển của răng: Các răng mọc chìa ra phía trước.
2. Hô do nguyên nhân ở xương hàm dưới: Xương hàm dưới lùi ở phía sau, còn xương hàm trên ở đúng vị trí. Đa số các trường hợp điều trị hô thuộc nhóm này.
.jpg)
3. Hô do nguyên nhân ở xương hàm trên: Xương hàm trên nhô ra trước và xương hàm dưới ở đúng vị trí.
4. Hô do cả xương hàm trên lẫn xương hàm dưới: Xương hàm trên nhô ra trước, xương hàm dưới lùi vào phía sau. Biểu hiện thường thấy là răng mọc lệch lạc đi kèm với sai tương quan của hai xương hàm theo chiều trước - sau.
Các phương pháp điều trị răng hô
Thông thường, để điều trị hô, sẽ có hai giải pháp chính bao gồm niềng răng và phẫu thuật hàm kết hợp niềng răng. Việc lựa chọn phương pháp điều trị sẽ phụ thuộc vào từng trường hợp cụ thể và mong muốn của mỗi người.
- Niềng răng:
.jpg)
Phương pháp niềng răng là phổ biến và hiệu quả nhất để cải thiện thẩm mỹ và sắp xếp các răng về vị trí mong muốn, cũng như chỉnh lại khớp cắn.
- Phẫu thuật hàm:
.jpg)
Phẫu thuật hàm là phương pháp lý tưởng khi răng hô do nguyên nhân ở xương hàm.
- Niềng răng kết hợp phẫu thuật hàm:
Phương pháp kết hợp niềng răng và phẫu thuật hàm thường được sử dụng khi tình trạng răng hô phức tạp.
Thời gian điều trị
Thời gian niềng răng hô trong bao lâu phụ thuộc vào nhiều yếu tố như sức khỏe răng miệng, tuổi tác, và phương pháp điều trị. Trung bình, thời gian điều trị niềng răng hô kéo dài từ 2 năm đến 2,5 năm. Tuy nhiên, các trường hợp lớn tuổi hoặc có tình trạng răng hô nặng hơn có thể kéo dài hơn. Để xác định rõ ràng về tình trạng của mình và lựa chọn phương pháp điều trị tốt nhất, bạn nên thăm khám và nhận tư vấn từ các bác sĩ nha khoa có chuyên môn về niềng răng hô.
- Niềng Răng Invisalign Có Hiệu Quả Không? Đối Tượng Nào Thích Hợp?
- Kỹ Thuật Gắn Attachment Trong Quá Trình Niềng Răng Invisalign
- Niềng Răng Sau Sinh: Thời Điểm Và Phương Pháp Phù Hợp
- Niềng Răng Invisalign: Ưu Điểm Và Nhược Điểm Bạn Cần Biết
- Niềng Răng: Các Trường Hợp Cần Tháo Niềng Trong Quá Trình Điều Trị
- Niềng Răng Khi Lớn Tuổi: Ưu Điểm Và Phương Pháp Phù Hợp
- Có Niềng Được Răng Khi Đã Làm Cầu Răng Sứ?
- Giải Mã Chụp Phim CBCT Trong Điều Trị Trồng Răng Implant




