Tại Sao Răng Bị Hở Chân Khi Niềng? Nguyên Nhân, Biểu Hiện và Giải Pháp Khắc Phục
21/08/2023
Niềng răng bị hở chân răng là một vấn đề phổ biến có thể xảy ra trong quá trình niềng răng. Hãy cùng tìm hiểu về nguyên nhân gây ra tình trạng này, cách nhận biết và những giải pháp hiệu quả để khắc phục, thông qua những chia sẻ từ các chuyên gia tại Nha Khoa Quốc Tế Việt Mỹ

Hở Chân Răng: Hiểu Rõ và Cách Phát Hiện
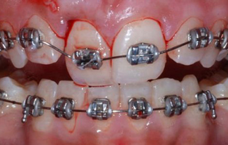
Niềng răng là một phương pháp an toàn giúp điều chỉnh răng để khắc phục các vấn đề như răng khấp khểnh, hô, móm, thưa, sai lệch khớp cắn. Tuy nhiên, không phải lúc nào quá trình niềng răng cũng diễn ra suôn sẻ. Một vấn đề thường gặp là hở chân răng - hiện tượng răng bị tụt lợi, có thể không dễ dàng nhận biết từ đầu.
Khi bị hở chân răng, bạn có thể cảm nhận:
- Sưng đỏ, đau nhức, và khó chịu ở nướu răng.
.jpg)
- Răng chảy máu khi chải răng hoặc ấn nhẹ vào nướu.
- Răng dễ lung lay và bạn có cảm giác chúng chắc chắn không.
- Đau nhức, ê buốt khi tiếp xúc với thức ăn nóng hoặc lạnh.
.jpg)
- Hơi thở không thơm, gây khó chịu.
Nguyên Nhân Gây Hở Chân Răng Khi Niềng
1. Tình Trạng Mảng Bám:
Trong quá trình ăn uống, thức ăn dễ dàng dính vào kẽ răng và mắc cài. Trong quá trình niềng răng, việc vệ sinh răng trở nên khó khăn hơn. Mảng bám thức ăn tích tụ dần thành vôi răng, gây viêm nướu và khi không được điều trị kịp thời, có thể dẫn đến hở chân răng.
2. Vệ Sinh Răng Không Đúng Cách:
.jpg)
Chải răng mạnh không có nghĩa là răng sẽ sạch hơn. Chải răng quá mạnh có thể làm tổn thương nướu, mòn men răng, và gây chảy máu. Thói quen chải răng sai cách dẫn đến hở chân răng theo thời gian.
3. Niềng Răng Không Kỹ Thuật:
Việc niềng răng đòi hỏi kỹ thuật cao. Bạn cần phải thăm khám và tiến hành niềng răng tại nha khoa uy tín với những chuyên gia có kinh nghiệm. Việc siết răng quá mạnh hoặc không đúng cách có thể dẫn đến tình trạng hở chân răng.
Tác Hại Của Hở Chân Răng Khi Niềng
Hở chân răng không chỉ ảnh hưởng đến thẩm mỹ và tự tin, mà còn gây ra những tác hại khác nhau:
1. Mất Răng:
Hở chân răng kéo dài có thể làm cho răng yếu và dẫn đến mất răng.
2. Thất Thẩm Mỹ:
Răng trở nên dài hơn, làm mất đi vẻ đẹp tự nhiên khi cười.
3. Bệnh Lý Răng Miệng:
Hở chân răng là môi trường thuận lợi cho vi khuẩn phát triển, dẫn đến viêm nướu, viêm nha chu và các vấn đề khác.
Cách Khắc Phục Hở Chân Răng Khi Niềng
1. Vệ Sinh Răng Đúng Cách:
Lựa chọn bàn chải và kem đánh răng phù hợp, chải răng theo chiều dọc với lực nhẹ nhàng. Sử dụng tăm chải kẽ, máy tăm nước để làm sạch các mảng bám.
2. Cạo Vôi Răng Định Kỳ:
.jpg)
Định kỳ cạo vôi răng để loại bỏ mảng bám trên nướu răng.
3. Tìm Nha Khoa Uy Tín:
Trước khi niềng răng, hãy tìm hiểu kỹ về nha khoa và các chuyên gia để đảm bảo việc niềng răng an toàn và hiệu quả.
Trong trường hợp tình trạng hở chân răng nghiêm trọng, bạn nên thăm khám nha khoa để được tư vấn và điều trị. Ghép mô nướu, cạo túi nha chu là những giải pháp có thể được áp dụng để khắc phục tình trạng này và lấy lại vẻ đẹp tự nhiên cho nụ cười của bạn.
.jpg)
Hãy luôn lựa chọn giải pháp và nha khoa chất lượng để đảm bảo rằng việc niềng răng diễn ra suôn sẻ và mang lại kết quả tốt nhất cho sức khỏe răng miệng của bạn.
- Niềng Răng Invisalign Có Hiệu Quả Không? Đối Tượng Nào Thích Hợp?
- Kỹ Thuật Gắn Attachment Trong Quá Trình Niềng Răng Invisalign
- Niềng Răng Sau Sinh: Thời Điểm Và Phương Pháp Phù Hợp
- Niềng Răng Invisalign: Ưu Điểm Và Nhược Điểm Bạn Cần Biết
- Niềng Răng: Các Trường Hợp Cần Tháo Niềng Trong Quá Trình Điều Trị
- Niềng Răng Khi Lớn Tuổi: Ưu Điểm Và Phương Pháp Phù Hợp
- Có Niềng Được Răng Khi Đã Làm Cầu Răng Sứ?
- Giải Mã Chụp Phim CBCT Trong Điều Trị Trồng Răng Implant




